How To Diagnose And Treat Klinefelter SyndromeKlinefelter syndrome is a chromosomal disorder that occurs when a male is born with an additional X chromosome. Klinefelter syndrome is an uncommon genetic disorder,…October 1, 2023
What Causes Scoliosis?Scoliosis is an abnormal curvature of the spine. With this disorder, the spinal column curves to the side in an 'S' shape. The areas in the spine most affected are…October 1, 2023
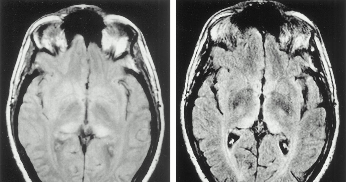
What Conditions Can A Cytomegalovirus Infection Cause?Cytomegalovirus is a common virus related to the various viruses that cause chickenpox, mononucleosis, and cold sores. According to information provided by the…October 1, 2023
Symptoms Of Primary Biliary CholangitisPrimary biliary cholangitis is a chronic autoimmune disease that causes bile ducts in the liver to die slowly over time. When bile ducts are damaged, bile can back…October 1, 2023
Causes, Risk Factors, And Complications Of Primary Biliary CholangitisPrimary biliary cholangitis is considered an autoimmune condition in which the bile ducts in the liver are destroyed. The liver supplies the small intestines with…October 1, 2023
Common Causes And Risk Factors For Dyspraxia And Overlapping ConditionsDyspraxia is a developmental disorder that affects the formation of both gross and fine motor skills. Someone who has dyspraxia may have trouble with hand-eye…October 1, 2023
Causes And Risk Factors Of A Baker's CystIf you notice a soft lump behind your knee, you may have what is known as a Baker's cyst. Damage to the joint of the knee, either due to disease or injury, can lead…October 1, 2023
Treating And Preventing Reflex Sympathetic DystrophyReflex sympathetic dystrophy syndrome (RSD) is a condition that causes lasting pain in some part of the body. Usually, the affected area will be a leg or arm. It…October 1, 2023
Common Causes And Risk Factors Of PericoronitisPericoronitis is a type of dental disorder pertaining to the wisdom teeth. It occurs when the gum's tissue becomes infected and swollen around the teeth. Most…October 1, 2023
What Causes Rhabdomyolysis?Rhabdomyolysis is a rare medical emergency that involves a breakdown of muscle tissue causing highly concentrated myoglobin to be released into the blood. Myoglobin…October 1, 2023