10 Great Reasons To Keep Your Teeth Clean
When it comes to proper dental hygiene, many underestimate the importance of brushing their teeth regularly and maintaining healthy gums. The truth is, taking good care of one’s teeth can help keep the entire body running more efficiently, as well as reduce the risk of obtaining many diseases. On top of that, healthy teeth mean a more polished appearance, upping confidence, and overall life satisfaction. Check out these ten benefits of maintaining clean teeth.
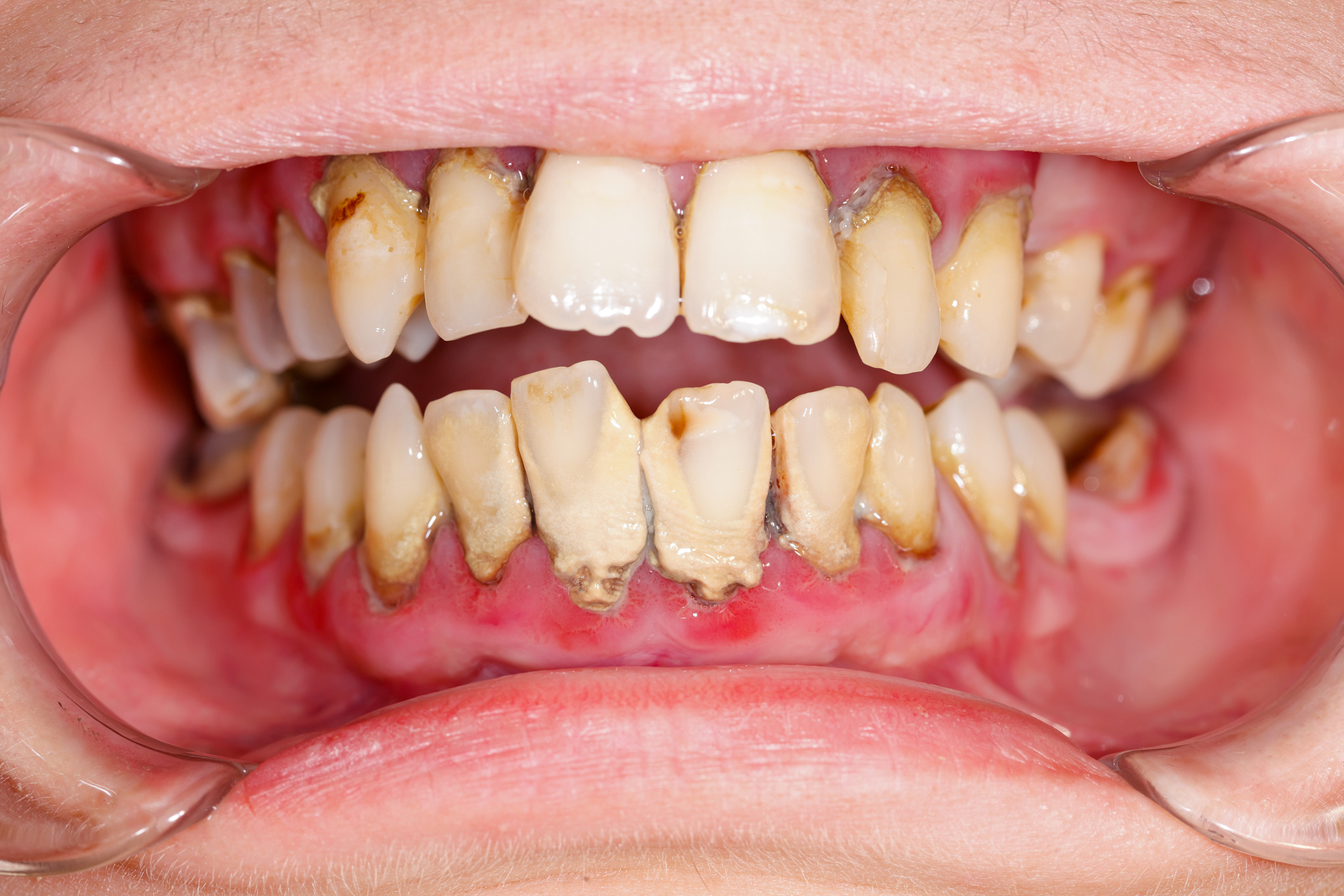
10. Prevent Gum Disease

Unhealthy gums will form when too much plaque and bacteria build up inside of a person’s mouth. Many people find themselves facing issues with their gums and end up getting gingivitis. Gingivitis will cause swelling and bleeding, and it is the beginning stage of developing gum disease. Gum disease can trigger other health issues and lead to a lot of pain and discomfort.
By brushing and flossing on a regular basis, gum disease can be avoided. Investing in a strong mouthwash will help, as well. Most importantly, stay up-to-date on dentist visits, as a professional will have the best insight as far as what type of care is needed.
9. Save Money

Taking small steps now will save a lot of time and money in the future. The cost of regular cleanings every six months is far less than the price of big fixes that will need to be done, should teeth and gums become neglected. Many preventative steps can be taken to avoid spending big bucks on dental care. If these steps are ignored, extra maintenance is inevitable.
If dental work is required, checking up on insurance and dental plans before undergoing any work is a smart way to plan ahead. Keep in mind that most plans offer free cleanings and x-rays, so taking advantage of these is a painless and economical choice for anyone wanting to save money throughout the process.
